안녕하세요. 26년 이상 임상경력을 보유한 수의심장학 전공 수의학 박사가 직접 진료하는 반려동물 심장특화병원, 동탄역에 위치한 동탄동물심장병원입니다.
노령 반려견에서 기침이나 호흡곤란이 나타나면 대부분 판막 질환을 먼저 의심하게 됩니다. 하지만 모든 심장 증상이 같은 원인에서 발생하는 것은 아닙니다. 드물게는 ‘심장 내 종괴’가 원인이 되기도 합니다.
심장 종괴는 발생 빈도는 낮지만, 혈류를 방해하거나 판막 기능에 영향을 주어 심부전과 호흡곤란을 유발할 수 있습니다. 이러한 병변은 방사선 검사만으로는 확인이 어렵습니다. 정확한 진단을 위해서는 심장 내부 구조와 혈류 흐름을 직접 평가할 수 있는 심장초음파 검사가 필수적입니다.
오늘은 심장초음파가 무엇인지 알아보고, 호흡기 증상으로 내원한 두 마리의 반려견에서 심장초음파를 통해 심장 내부 종괴가 확인된 사례를 살펴보겠습니다.

심장초음파 검사란 무엇인가 – 심장 내부를 직접 확인하는 가장 정밀한 검사
심장 질환이 의심될 때 가장 먼저 떠올리는 검사는 흉부 방사선 검사입니다. 하지만 방사선은 ‘심장의 크기 변화’를 간접적으로 보여주는 검사일 뿐, 심장 내부에서 실제로 어떤 일이 일어나고 있는지까지는 확인하기 어렵습니다. 심장초음파는 초음파를 이용해 심장의 내부 구조를 실시간으로 관찰하는 검사입니다. 이 검사를 통해 다음과 같은 항목을 정밀하게 평가할 수 있습니다.
• 심장 내부 구조 (심방·심실 크기, 벽 두께)
• 판막의 움직임과 역류 여부
• 혈류의 방향과 속도 (도플러 검사)
• 심장 수축 기능
• 심장 내부 종괴(종양), 혈전, 삼출액 존재 여부
특히 심장초음파는 심장이 어떻게 뛰고 있는지, 혈액이 어떤 방향으로 얼마나 흐르고 있는지를 실시간으로 확인할 수 있는 유일한 검사입니다.
왜 심장초음파가 중요한가 – 증상만으로는 원인을 알 수 없습니다
기침, 호흡곤란, 운동불내성, 청색증. 이러한 증상은 대부분 ‘판막 질환’을 먼저 떠올리게 만듭니다. 그러나 임상 현장에서 판막 질환이 아닌 심장 내부 종괴, 혈전, 선천적 구조 이상, 심낭 질환이 비슷한 증상을 유발하는 경우도 적지 않습니다. 즉, 증상만으로는 원인을 단정할 수 없습니다. 심장 질환은 원인에 따라 치료 전략이 완전히 달라집니다.
• 단순 판막 질환 → 심부전 약물 치료
• 종괴로 인한 혈류 방해 → 종괴 위치 평가 후 항암 또는 보존적 관리
• 혈전 형성 → 항응고 치료
• 심낭 질환 → 응급 처치 필요
정확한 진단 없이 약물만 시작하는 것은 오히려 예후를 악화시킬 수 있습니다. 따라서 심장 질환의 첫 단계는 정밀 심장초음파 진단입니다.
심장 내 종괴 진단에서 초음파의 역할
심장 내부에 발생하는 종양은 매우 드문 질환입니다. 하지만 드물다는 이유로 배제할 수는 없습니다. 심장 내 종괴는 다음과 같은 문제를 유발할 수 있습니다.
• 혈류 흐름의 물리적 차단
• 판막 기능 방해
• 역류 악화
• 심부전 진행
• 부정맥 유발
방사선 검사에서는 단순히 심장이 커 보일 수 있지만, 초음파를 통해서만 종괴의 정확한 위치, 크기, 주변 구조와의 관계를 확인할 수 있습니다.

특히 다음 항목은 초음파로만 평가가 가능합니다.
• 종괴가 어느 심장 방에 위치하는지
• 혈관과의 연관성
• 혈류 방해 정도
• 판막과의 해부학적 관계
• 심장 기능에 미치는 영향
다만, 초음파 영상만으로 종양의 악성 여부를 100% 판단할 수는 없습니다. 필요 시 조직학적 평가가 병행되어야 합니다.
심장초음파로 확인한 심장 내 종괴 2증례
심장 내 종괴 증례
• 심장에 발생하는 종양은 반려견에서 매우 드문 질병입니다.
• 종괴가 심장 안에 위치할 경우, 혈류 흐름을 방해하거나 판막 기능에 영향을 주어 심부전이나 호흡곤란을 유발할 수 있습니다.
• 이번 증례는 심장초음파 검사를 통해 심장 내부 종괴를 진단한 두 마리의 환자 사례입니다.
증례 1: 대동맥 주변에서 발견된 종괴
• 11살 중성화 수컷 요크셔테리어가 호흡이 빠르고 기침을 보이는 증상으로 내원했습니다.
• 청진에서 심잡음이 확인되었고, 흉부 방사선 검사에서 심장 크기 증가가 관찰되었습니다.

Fig 1. 증례 1의 흉부 방사선 사진입니다.
A: 배등 방향 촬영에서 특히 우심방을 중심으로 경도의 심장비대가 관찰되었습니다.
B: 우측 측면 촬영에서 심장 전방 허리(waist) 소실, 대동맥 근부 확장, 심장 비대, 기관의 등쪽 변위 및 흉부 기관의 중등도 허탈(흰색 화살표)이 관찰되었습니다.
( Thoracic radiography of the case 1. A: Ventrodorsal projection of radiography showed mild cardiomegaly especially with right chamber. B: Right lateral projection of radiography showed loss of cranial waist, dilation of aortic root, cardiac enlargement, dorsal displacement of trachea and moderate collapse of thoracic trachea (white arrows).)

Fig 2. 증례 1에서 얻은 심장초음파 영상입니다. 우측 흉골 옆 단축면(대동맥 수준; A)과 장축 5챔버 영상(B)에서 상행 대동맥, 폐동맥, 좌심방 사이에 14–16mm 크기의 종괴가 관찰되었습니다.
(Echocardiogram images obtained from the case 1. The right parasternal short axis (aortic level; A) and long axis (5 chamber B) of 2 D echocardiography showed 14-16 mm mass grown among ascending aorta, pulmonary artery and left atrium. )
심장초음파 검사 결과
• 심장초음파 검사에서 상행 대동맥과 폐동맥 사이에 약 1.5cm 크기의 종괴가 확인되었습니다.
• 이 종괴로 인해 대동맥 역류, 이첨판 역류, 좌심실 확장이 동반되어 있었으며, 종괴의 위치와 형태를 고려할 때, 대동맥 소체 종양(aortic body tumor)이 의심되었습니다.
• 본 증례의 환자는 심부전 약물 치료와 경구 항암제 투여를 병행하였으며, 6주 추적 검사에서 종괴 크기의 급격한 증가는 보이지 않았고 임상 증상도 안정적으로 유지되었습니다.
증례 2: 좌심방에서 발견된 종괴
• 9살 중성화 수컷 요크셔테리어가 기침과 청색증 증상으로 내원했습니다.
• 흉부 방사선 검사에서 좌심방이 심하게 확장되어 있었으며, 기관 허탈도 함께 동반되어 있었습니다.

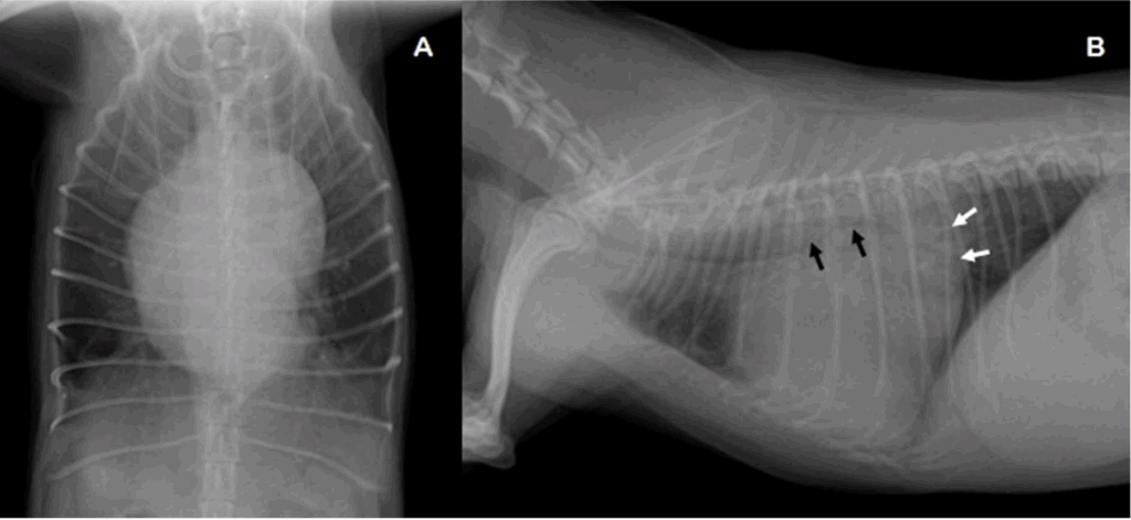
Fig 5. 증례 2의 흉부 방사선 사진입니다.
A: 배등 방향 촬영에서 좌심실과 좌심방 확장을 동반한 중등도의 심장비대가 관찰되었습니다.
B: 우측 측면 촬영에서 심한 좌심방 확장(흰색 화살표)과 기관의 등쪽 변위 및 기관지 압박(검은색 화살표)이 관찰되었습니다. 해당 환자는 심한 흉부 기관 허탈도 함께 동반하고 있었습니다.
(Thoracic radiography of the case 2. A: Ventrodorsal pro-jection of radiography showed moderate cardiomegaly with left ventricular and atrial dilation. B: Right lateral projection of radi-ography showed severe left atrial dilation (white arrows) and dor-sal displacement of trachea with bronchial compression (black arrows). The dog also had severe thoracic tracheal collapse. )
심장초음파 결과

• 심장초음파에서 좌심방의 약 60% 이상을 차지하는 종괴가 확인되었습니다.
• 이로 인해 심한 이첨판 역류, 좌심방 확장, 혈류 흐름의 제한이 관찰되었습니다.
• 종괴의 모양과 위치를 바탕으로 심장 점액종(myxoma)이 의심되었습니다.
• 본 증례의 환자는 심장 부담을 줄이기 위한 약물, 혈전 예방 치료, 기관지 확장제를 투여하며 관리하였고, 3개월 추적 검사에서도 종괴 크기의 뚜렷한 증가는 보이지 않았습니다.
심장 종괴는 어떻게 진단하나?
• 심장 안에 생긴 종괴는 일반 방사선 검사만으로는 정확히 확인하기 어렵습니다.
• 심장초음파 검사는 종괴의 위치, 크기, 혈류 방해 정도, 판막 기능 변화, 심장 기능에 미치는 영향을 실시간으로 평가할 수 있는 가장 중요한 검사입니다.
• 다만, 초음파만으로 종양의 악성 여부를 100% 판단할 수는 없으며, 조직검사가 필요할 수 있습니다.
이 증례에 대한 고찰
• 심장 질환 증상이 항상 판막 질환만을 의미하지는 않는다.
• 심장 내부 종괴도 심장초음파로 조기에 발견할 수 있다.
• 종괴가 있더라도 심장 기능을 평가하여 치료 방향을 결정할 수 있다.
• 정기적인 추적 검사가 매우 중요하다
• 심장초음파는 단순히 “심장 크기”를 보는 검사가 아니라, 심장 내부 구조와 혈류 흐름까지 평가하는 정밀 검사입니다.
• 심장질환은 원인에 따라 치료 전략이 완전히 다릅니다.
• 우선 심장 질환은 정확하고 정밀한 초음파 진단을 통해 증상 뒤에 숨겨진 근본적인 원인을 찾는 것이 중요합니다.
• 판막 질환과 증상이 비슷하더라도 초음파를 통해 종괴(종양) 같은 예상치 못한 원인을 감별해내는 것이 치료의 시작입니다.
• 종괴로 인한 심장질환의 경우 정기 추적 검사를 통해 단순히 구조를 찍는 것을 넘어, 심장이 어떻게 뛰고 혈액이 어떻게 흐르는지 실시간으로 확인하여 상태에 따라 개별 맞춤형 치료 방향을 설정해 나가는 것은 예후를 결정하는 데 가장 중요한 사항이라 할 수 있습니다.
Publication
• 심장내 종괴는 매우드문 증례입니다. 고령의 반려견에서 발견된 심장내 종괴에 대한 영상학적 진단을 통해 환자의 증상개선을 위한 처치를 실시한 증례입니다.
• 본 증례는 Scopus 등재 저널인 Journal of Veterinary Clincs에 투고 및 게재되었습니다.

동탄동물심장병원은 단순한 진료를 넘어 반려동물의 평생 건강과 보호자의 마음까지 함께하는 동반자입니다. 정밀 진단과 근거 중심 치료, 체계적인 장기 관리로 심장 질환의 골든타임을 놓치지 않습니다. 풍부한 임상 경험을 가진 전문 의료진이 신뢰할 수 있는 진료를 제공하며, 개개인의 상태에 맞춘 맞춤 치료와 생활관리까지 세심하게 설계해 드립니다.