안녕하세요. 26년 이상 임상경력을 보유한 수의심장학 전공 수의학 박사가 직접 진료하는 반려동물 심장특화병원, 동탄역에 위치한 동탄동물심장병원입니다.
노령 반려견이 숨을 깊고 힘들게 쉬기 시작하면 대부분의 보호자분들은 심장병을 먼저 떠올립니다. 실제로 노령 소형견에서 심장 질환은 매우 흔하며, 호흡곤란의 대표적인 원인 중 하나입니다.
하지만 모든 호흡곤란이 심장병으로 설명되지는 않습니다. 호흡은 결과일 뿐, 그 원인은 심장·폐·흉강·종양성 질환 등 매우 다양합니다. 이번 글에서는 노령견에서 흔한 심장 질환과 흉수의 관계를 정리한 뒤, 실제로 심장병이 아니었던 흉수 증례를 통해 호흡곤란의 감별 진단이 왜 중요한지 살펴보겠습니다.

노령견에서 흔한 심장병과 호흡 변화
노령 소형견에서 가장 흔한 심장 질환은 퇴행성 이첨판폐쇄부전증입니다. 질환이 진행되면 심장 내부 압력이 상승하고 좌심부전으로 이어질 경우 폐수종이 발생할 수 있습니다. 이때 기침, 빠른 호흡, 운동 불내성 등이 나타납니다.
또한 우심부전이 진행되면 정맥 압력이 상승하면서 복수나 흉수와 같은 체액 저류가 동반될 수 있습니다. 따라서 노령견의 호흡곤란에서는 심장성 원인을 우선적으로 감별하는 것이 일반적입니다. 그러나 심장 잡음이 없거나, 영상 검사에서 전형적인 심장 비대가 확인되지 않는 경우라면 다른 원인에 대한 평가가 반드시 필요합니다.
심장병과 흉수의 관계
강아지 심장병, 특히 우심부전이 진행되면 정맥 압력이 상승하면서 체액이 복강이나 흉강으로 빠져나올 수 있습니다. 이 경우 다음과 같은 변화가 나타납니다.
• 흉강 내 액체 축적
• 폐 확장 제한
• 빠르고 얕은 호흡
• 심한 경우 저산소증
심장성 흉수는 비교적 서서히 진행되기도 하지만, 어느 순간 급격히 악화될 수 있어 응급 상황으로 이어질 수 있습니다. 그러나 흉수가 확인되었다고 해서 모든 경우가 심장성 원인이라고 단정할 수는 없습니다. 이제 실제 증례를 통해 살펴보겠습니다.
심장병이 아니었던 호흡곤란 – 고령 시추의 흉수 진단 사례
내원 배경
17살 중성화 암컷 시추가 기침과 호흡곤란을 주증상으로 내원했습니다. 아이는 체중이 많이 감소한 상태였고, 숨을 깊고 힘들게 쉬고 있었습니다. 고령 반려견에서 호흡곤란이 나타나면 많은 보호자분들이 심장병을 먼저 걱정하시게 됩니다. 실제로 심장 질환은 노령견에서 흔한 원인 중 하나입니다. 하지만 이 아이의 경우, 청진상 뚜렷한 심장 잡음은 들리지 않았습니다.
흉부 초음파 검사
흉부 초음파 검사를 통해 폐 자체의 문제가 아니라, 가슴 안(흉강)에 많은 양의 액체가 차 있는 상태(흉수)임을 확인했습니다.

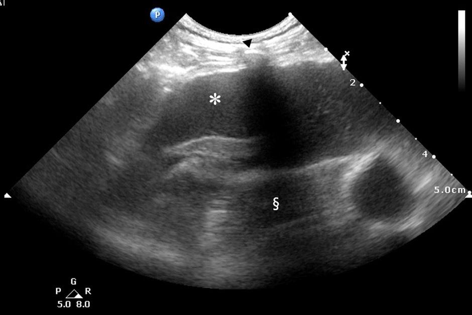
Fig. 1. 본 증례에서 흉부 초음파 검사를 통해 확인된 흉수 소견
흉강 내에서 저에코성 흉수(*)가 관찰되었으며, 갈비뼈(화살촉 표시)에 의해 초음파가 통과하지 못해 형성된 고에코성 음영(§)이 함께 확인되었습니다. (Pleural effusion confirmed by ultrasonography of the thoracic cavity in this case.
Hypoechoic pleural fluid (*) is observed in the thoracic cavity, and an echogenic shadow (§) is observed due to the impermeability of ultrasound to the ribs (arrow head).)
흉부 방사선 검사
흉부 방사선 검사에서도 양쪽 폐 주변에 액체가 고여 있는 소견이 관찰되었으며, 종양 덩어리처럼 보이는 구조물은 확인되지 않았습니다.

Fig. 2. 본 증례의 흉부 방사선 영상
폐엽 사이 간극(검은색 및 흰색 화살표)에서 방사선 투과도의 차이가 관찰되었으며, 이는 흉수를 시사하는 소견입니다. (A) 우측 측면 영상 / (B) 복배(DV) 영상
(Radiographic images of this case. Interlobular fissures (black and white arrows) showing differences in radiolucency suggestive of pleural effusion are observed.
(A) Right lateral view
(B) Ventro-dorsal view ))
응급 처치 – 흉수 제거
• 호흡을 어렵게 만들고 있던 흉수를 제거하기 위해 즉시 흉강천자(흉수 제거 시술)를 시행했습니다.
• 200mL 이상(체중의 약 4%에 해당)의 액체가 배출되었고, 제거 직후 아이의 호흡은 눈에 띄게 안정되었습니다.
• 배출된 흉수는 피가 섞인 장액성 형태였으며, 정확한 원인을 확인하기 위해 세포 검사를 진행했습니다.

Fig. 3. 흉강천자를 통해 제거된 흉수 본 증례에서 제거된 흉수는 변형 삼출액(modified transudate)으로 확인되었으며, 200mL 이상의 체액이 배출되었습니다. (Pleural fluid removed through thoracentesis in this case.
The nature of the pleural effusion was modified transudate, and >200 mL was removed.)
세포 검사
세포학적 결과
• 흉수 세포 검사에서 중피세포(가슴 안을 덮고 있는 세포)의 비정상적인 증식 소견이 관찰되었습니다.
• 영상 검사에서 종양 덩어리가 보이지 않았다는 점과 세포학적 특징을 종합하여, 중피종으로 인한 악성 흉수로 판단되었습니다.
• 중피종은 반려견에서는 매우 드문 질환으로, 뚜렷한 종양 덩어리가 보이지 않으면서 흉수가 반복적으로 차오르는 형태로 나타나는 경우가 있습니다.

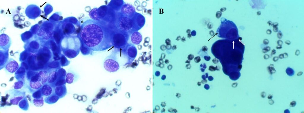
Fig. 4. 본 증례에서 채취한 흉수 세포의 대표적 현미경 소견 (Diff-Quick 염색, ×1,000 배율( Representative micrographs of pleural effusion cells obtained in this case (Diff Quick stain, ×1,000).)
(A)
- Severe anisokaryosis
- High nuclear to cytoplasmic ratio
- Nuclear pleomorphism
- Multiple nucleoli
- Eccentric nucleus
- Narrow rim of cytoplasm separating nucleus from cell boundary
- Two-zone staining pattern
(B)
- Eccentric nucleus
- Narrow rim of cytoplasm
- Two-zone staining pattern with peripheral vacuoles
치료
흉수를 제거한 뒤 호흡은 호전되었지만, 하루 만에 다시 흉수가 차며 호흡곤란이 재발했습니다. 이에 보호자와 충분히 상의 후, 지속적으로 흉수를 배출할 수 있도록 흉관(가슴 배액관)을 삽입하였습니다. 이후 하루 약 100mL 정도의 흉수를 배출하며 호흡은 안정적으로 유지되었고, 아이는 비교적 편안한 상태로 일상생활을 이어갈 수 있었습니다.
고찰
이 증례는 다음과 같은 점을 보여줍니다.
• 고령 반려견의 호흡곤란 원인이 반드시 심장병은 아닐 수 있다는 점
• 영상에서 종양이 보이지 않아도 세포 검사를 통해 진단에 접근할 수 있다는 점
• 반복되는 흉수에서도 적극적인 배액 관리로 일정 기간 삶의 질을 유지할 수 있다는 점
• 호흡이 힘들어 보인다면 단순 노화로 생각하지 마시고, 정확한 원인을 확인하는 검사가 필요합니다.
Publication
• 호흡곤란이 발생하였다고 하여 모두 심장병은 아닙니다.
• 정확한 진단과 그에 따른 처치가 환자의 증상을 개선시킬 수 있습니다.
• 본 증례는 중피종으로 인한 혈액성 삼출물에 대한 세포학적 진단과 흉관장착을 통한 장기생존에 관련한 보고입니다.
• KCI 등재 저널인 Journal of Biomedical and Translational Research에 투고 및 게재되었습니다.

중피종이란 무엇인가
중피종(Mesothelioma)은 흉강, 복강, 심낭 등을 덮고 있는 중피세포(mesothelial cell)에서 발생하는 악성 종양입니다. 반려견에서는 매우 드문 종양에 속하지만, 뚜렷한 종괴가 영상에서 잘 보이지 않으면서도 흉수나 복수가 반복적으로 차오르는 형태로 나타나는 특징이 있습니다.
즉, 종양이 ‘덩어리’로 자라기보다 장막면을 따라 광범위하게 퍼지면서 지속적인 삼출을 유발하는 형태로 진행하는 경우가 많습니다.

중피종이 흉수를 만드는 기전
정상적인 장막은 소량의 윤활액만 분비하며 체액의 생성과 흡수가 균형을 이루고 있습니다. 하지만 중피세포가 종양성 변화를 일으키면 장막 표면의 염증 및 자극, 비정상적인 체액 분비 증가, 림프 배출 저하가 발생하게 됩니다.
그 결과 흉강 내 체액이 지속적으로 축적되며 반복적인 흉수가 형성됩니다. 중피종에서 나타나는 흉수는 혈액이 섞인 장액성 삼출물 형태를 보이는 경우가 많습니다.
진단의 어려움
중피종은 영상 검사만으로 확진하기 어렵습니다. 흉부 방사선이나 초음파에서 뚜렷한 종괴가 보이지 않는 경우가 많기 때문입니다. 따라서 다음과 같은 접근이 필요합니다.
• 흉수 세포학 검사
• 반복 채액 분석
• 필요 시 조직 검사
세포학적 검사에서는 중피세포의 비정상적 증식, 핵 비대, 다형성, 높은 핵/세포질 비율 등의 소견이 관찰될 수 있습니다.
호흡곤란은 단정이 아니라 감별입니다
노령견의 호흡곤란은 심장병일 가능성이 높지만, 그 자체가 곧 진단은 아닙니다. 이번 증례는 심장성 질환과 비심장성 질환을 구분하는 과정, 그리고 세포학적 접근의 중요성을 보여주는 사례입니다. 호흡곤란은 단순 노화로 넘길 수 있는 증상이 아닙니다. 정확한 감별과 근거 기반의 진단이 아이의 삶의 질을 좌우합니다.
동탄동물심장병원은 단순한 진료를 넘어 반려동물의 평생 건강과 보호자의 마음까지 함께하는 동반자입니다. 정밀 진단과 근거 중심 치료, 체계적인 장기 관리로 심장 질환의 골든타임을 놓치지 않습니다. 풍부한 임상 경험을 가진 전문 의료진이 신뢰할 수 있는 진료를 제공하며, 개개인의 상태에 맞춘 맞춤 치료와 생활관리까지 세심하게 설계해 드립니다.